Зачем мы посещаем стоматологические клиники? Как правило, на это сподвигает внезапная зубная боль. В стоматологии Buga Dental Clinic с пониманием отнесутся к вашему случаю. Новейшие технологии в сфере стоматологии помогают нашему персоналу успешно лечить заболевания полости рта и сопутствующие недуги.
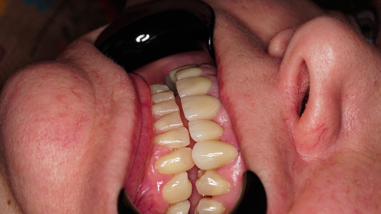
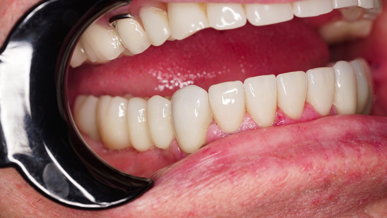
Если вы собираетесь добиться ровной и сверкающей улыбки, то работу над ней лучше доверить профессионалам. В стоматологии Buga Dental Clinic имеется все необходимое для того, чтобы ваши зубы всегда были здоровыми. В нашей стоматологии готовы предоставить услуги лечения кариеса, удаления зубов, отбеливания, исправления прикуса, рентгенологической диагностики, а также установки металлокерамики, брекетов, имплантов. Пусть ваша улыбка будет в надежных руках!
Ваш малыш боится посещать врачей? В нашей стоматологии говорят нет детским страхам! Наши доктора - не просто профессионалы, они смогут найти подход к самым маленьким пациентам.
В своей работе мы применяем. Также мы сможем помочь с.
Записаться на консультацию к нужному специалисту можно по телефону.
Специализация-терапевтическое и хирургическое лечение детей и взрослых,
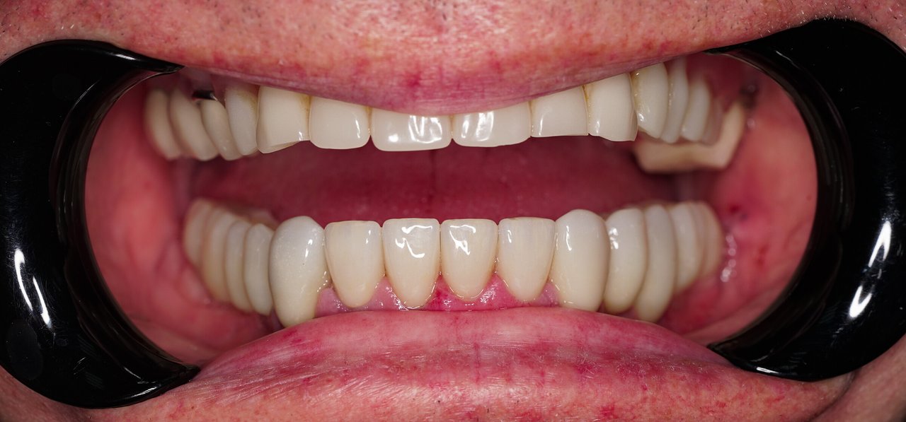
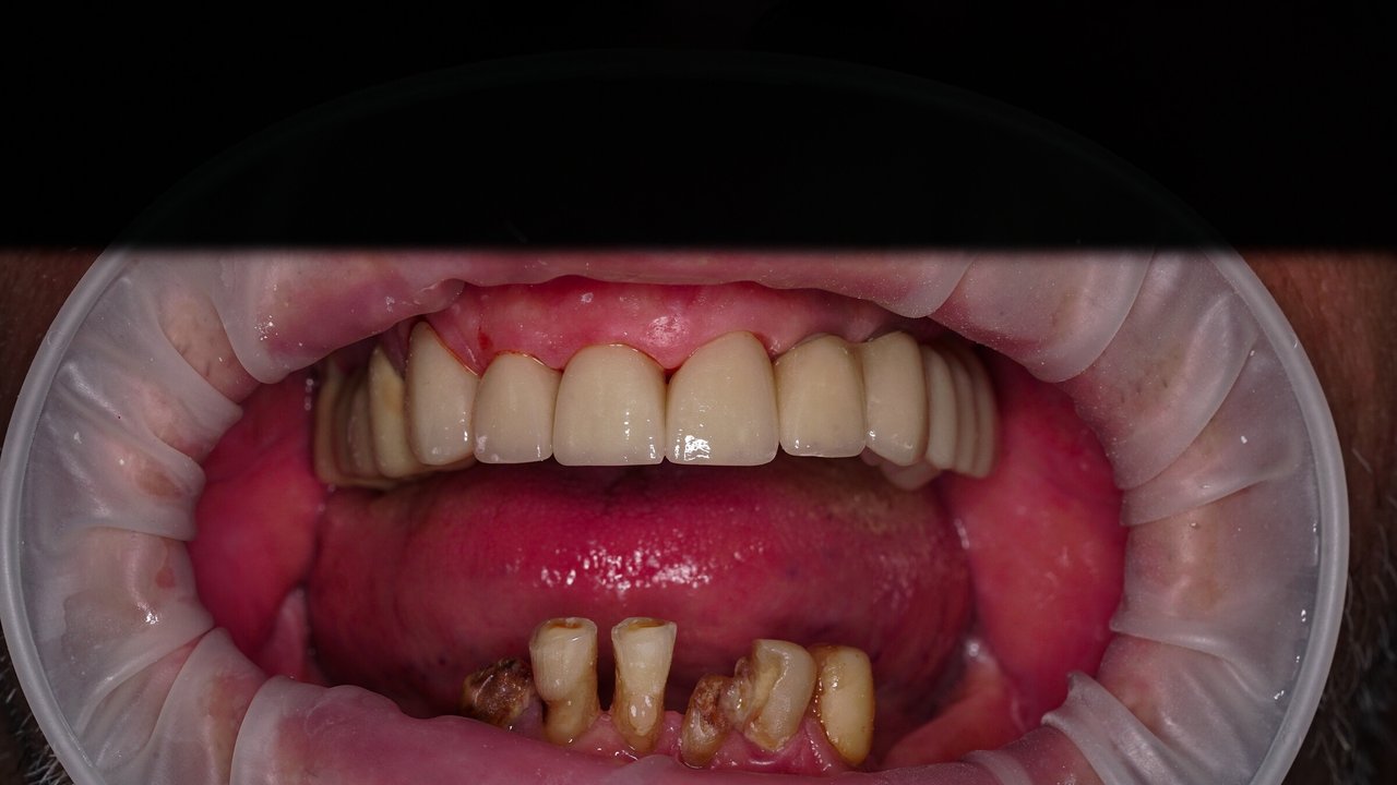
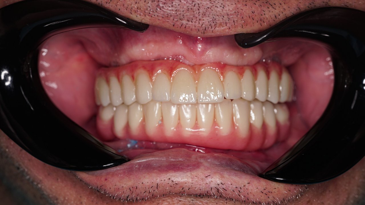
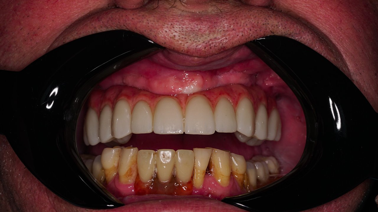
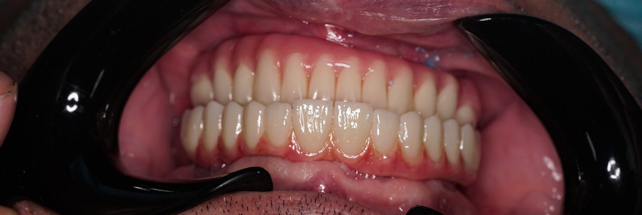
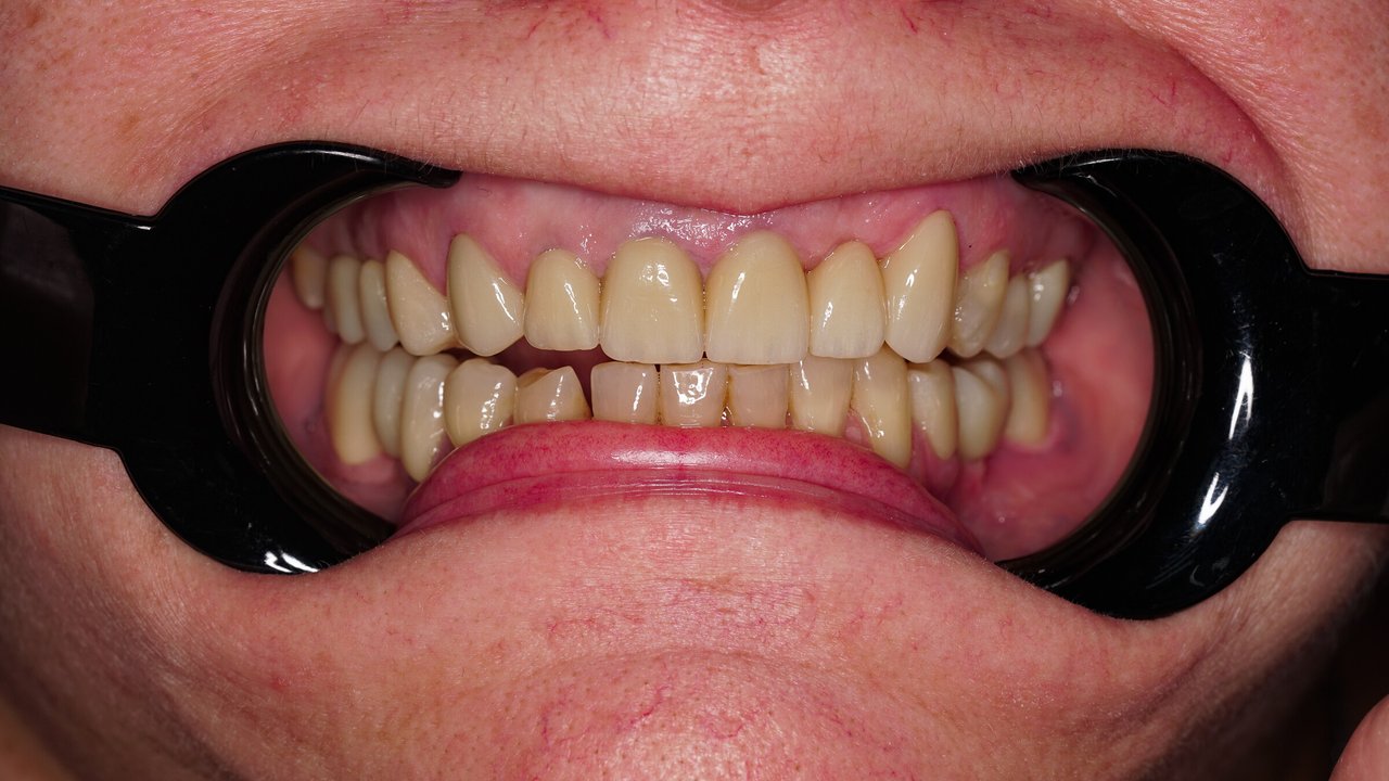
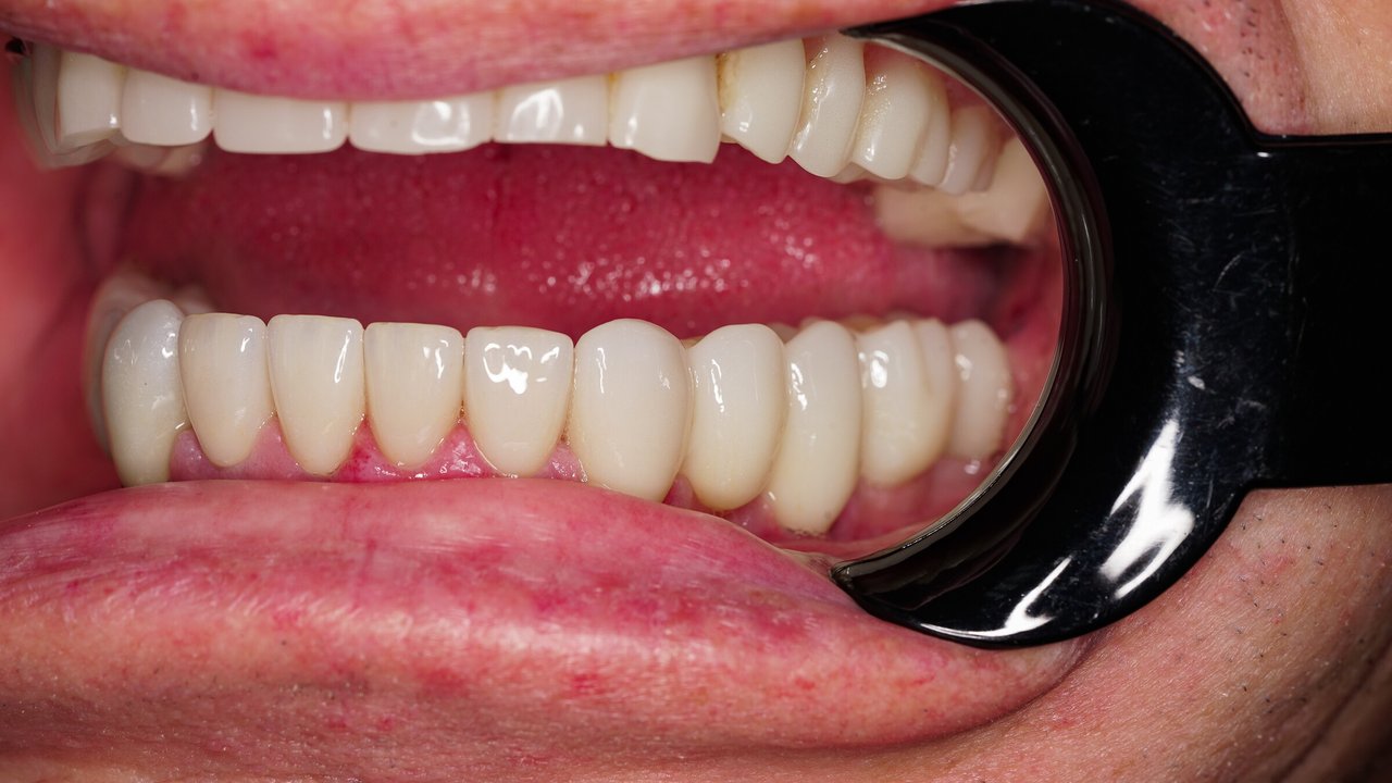
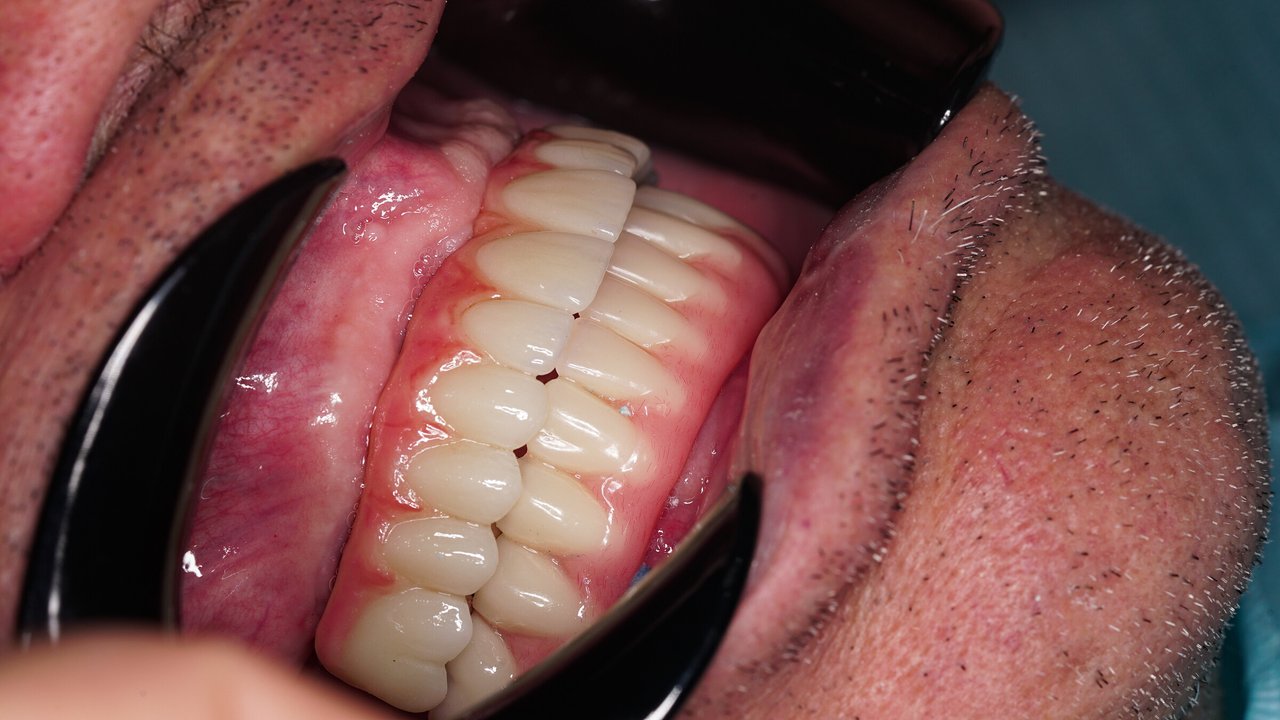
Имплантация, несъёмное протезирование (виниры, коронки, мостовидные протезы).
Ирена Левоновна Тсолахсаввидис
Тсолахсаввидис Ирена Левоновна является стоматологом-терапевтом, а также работает в сфере стоматологической хирургии. Ирена Тсолахсаввидис в том числе специализируется на заболеваниях полости рта, делает лоскутные операции и пластику десны, а также занимается лечением кариеса, некариозных поражений зубов, перикоронарита, периостита и лечение стоматита.
Ирена Тсолахсаввидис.
Виолетта Витальевна Давыдова
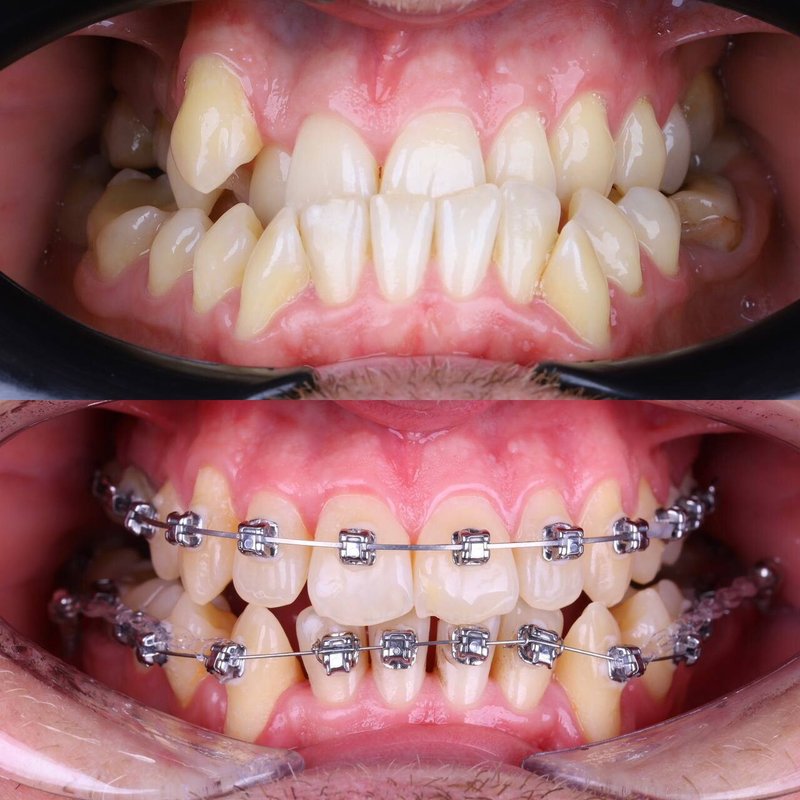
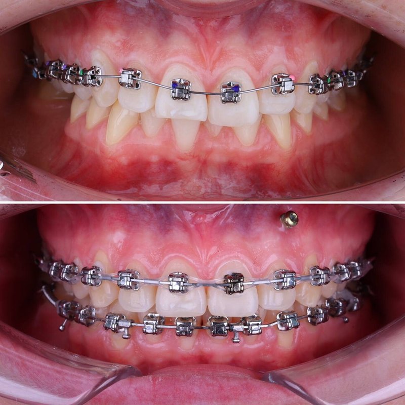
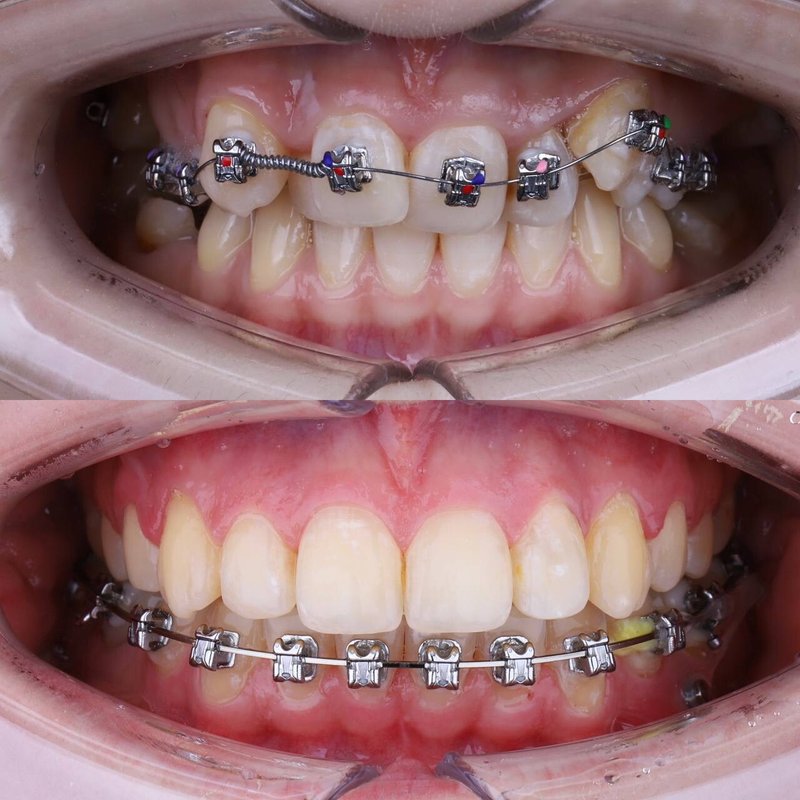
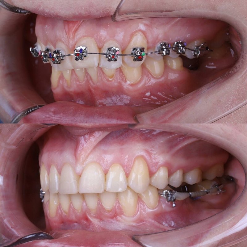
Давыдова Виолетта Витальевна является ортодонтом. Виолетта Давыдова в том числе занимается исправлением прикуса, устанавливает скайсы, трейнеры, виниры, брекеты и ортодонтические пластинки, а также выполняет установку функциональных ортодонтических аппаратов. Думая о посещении стоматолога-ортодонта, стоит не забывать, что неправильный прикус - не только эстетическая проблема. Зубочелюстные деформации влияют на работу мышц шеи, осанку и даже на строение позвоночника. Ортодонтическая терапия длится достаточно долго, однако это каждый раз является важной инвестицией в собственное здоровье и качество жизни.
Виолетта Давыдова.
Лицензии, награды, сертификаты
Отзывы
4,0
Алексей
Обращался в клинику по поводу удаления зуба по рекомендации знакомых. В целом всё сделали адекватно и приятно, стоматолог дал полные рекомендации по лечению: подробно объяснил, какие таблетки нужно купить и как их принимать. Качеством самой медицинской манипуляции и полнотой консультации я остался доволен.
27 мая 2026 Отзыв взят с сайта Zoon.ru
5,0
Анастасия
Приводила ребёнка на удаление зуба и на установку пломбы. Всё прошло аккуратно, чисто и быстро. После удаления доктор дал подробные рекомендации, выписал антибиотики на всякий случай и сказал, что в случае чего можно звонить и обращаться. Первый раз принимала молодая девушка-стоматолог, второй раз - врач-мужчина, оба понравились. Приятно отметить отношение к ребёнку и общую вежливость персонала.
27 мая 2026 Отзыв взят с сайта Zoon.ru
5,0
Елизавета
Мне понравились грамотные и внимательные сотрудники! В последний раз ребёнку пломбировали зуб: стоматолог нашла подход, лечение прошло хорошо. Врач дала рекомендации - сказала держать ситуацию на контроле: зуб ещё не до конца сформировался, есть риск кариеса. Раньше мы ходили к доктору Кириллу - ребёнок к нему привык. Сейчас он не принимает, поэтому обратились к другому стоматологу - претензий к ней нет, всё в порядке.
27 мая 2026 Отзыв взят с сайта Zoon.ru
5,0
Елена
Мы приходили с ребёнком на лечение зуба, после первого приёма нам пришлось прийти повторно, так как зуб ещё беспокоил - всё тщательно проверили и отнеслись к проблеме внимательно. Доктор нормально объяснил, в чём проблема и как всё будет делаться.
27 мая 2026 Отзыв взят с сайта Zoon.ru
5,0
Мария
В клинике мне понравилось отношение персонала, а также качество работы и используемого оборудования - разница с государственными стоматологиями по ОМС заметна. Я обращалась для удаления зуба, всё прошло отлично: лунка зажила быстро и без каких-либо проблем. Врач досконально всё объяснил и дал грамотные рекомендации по уходу на ближайшую неделю. Он подробно рассказал, как прикладывать средства, чем полоскать и как правильно делать ванночки.
27 мая 2026 Отзыв взят с сайта Zoon.ru
5,0
Татьяна
Удаляли зуб ребёнку, доктор Ира очень добрая девушка, она смогла быстро найти к нему подход. В самой клинике приятная атмосфера: везде чисто, для детей есть мультики и вода, поэтому ожидать и находиться здесь комфортно. Также меня порадовало вежливое обслуживание и приемлемые цены.
27 мая 2026 Отзыв взят с сайта Zoon.ru
5,0
Олеся
Ходила сюда всей семьёй - и сама лечилась, и детей приводила. Мне делали удаление зуба и лечение, я была приятно удивлена: всё прошло совершенно безболезненно. Детям тоже поставили пломбы, всё шикарно. Ирена Левоновна настоящий профессионал своего дела, очень заботливая и нежная, с ней совсем нестрашно - дети это тоже почувствовали.
26 мая 2026 Отзыв взят с сайта Zoon.ru
5,0
Шамиль
В стоматологию я обратился экстренно, так как очень сильно болел зуб, кажется, проблема была в корне. Заехал в первую попавшуюся клинику, где мне вовремя и профессионально помогли, вырвали зуб и избавили от боли. Мне всё очень понравилось: в клинике работают молодцы, отношение к пациентам хорошее. К сожалению, я не успел долечиться до конца из-за отъезда.
26 мая 2026 Отзыв взят с сайта Zoon.ru
5,0
Максим
Мне очень понравилось в этой клинике, всё новое и удобное. Мне попался действительно хороший врач, настоящий специалист своего дела. Она выполнила хирургическую процедуру - вырезала и доставала пеньки. Всё было сделано очень аккуратно, без каких-либо плохих последствий, хотя раньше у меня бывал негативный опыт у неопытных врачей, когда работу выполняли некачественно. После процедуры доктор прописала все необходимые лекарства и дала чёткие рекомендации, что нужно делать.
26 мая 2026 Отзыв взят с сайта Zoon.ru
5,0
Анастасия
Я очень довольна качеством услуг и профессионализмом врачей, особенно учитывая, что у меня была сложная ситуация. Мне проводили операцию после неудачной попытки имплантации: разрезали полдесны и вытаскивали имплант, который провалился в кость. Несмотря на сложность процесса, всё прошло замечательно. Также хочу отметить хорошее отношение персонала и доступность клиники.
22 мая 2026 Отзыв взят с сайта Zoon.ru
5,0
Надежда
У меня сильно распухла щека от флюса, который образовался под коронкой, врач осмотрел меня и быстро оказал нужную помощь без всяких затруднений, все выполнил правильно. После проведенного лечения никаких осложнений не появилось, самочувствие у меня хорошее. Доктор общался со мной прекрасно и предоставил советы по дальнейшему устранению проблемы с зубом под коронкой, поскольку ее потребуется демонтировать и выяснять причины возникновения воспаления. Саму коронку я устанавливала в другом городе, однако тут мне оказали быструю помощь.
21 мая 2026 Отзыв взят с сайта Zoon.ru
5,0
Галина
Приходила на лечение зуба - поставили пломбу, всё залечили, почистили как положено. Врач работал аккуратно, внимательно, старался сделать так, чтобы не было больно. Хороший доктор всё сделал на совесть - не то что бывает, когда ковыряют и делают непонятно что. Здесь всё нормально.
21 мая 2026 Отзыв взят с сайта Zoon.ru
5,0
Александр
Я долго искал, где удалить зуб, нигде не брались, в итоге сын подсказал мне эту клинику. Здесь помогли, всё сделали как положено, обезболивание было нормальным, никакого дискомфорта. Доктор вёл себя по-человечески, спокойно, общение приятное.
21 мая 2026 Отзыв взят с сайта Zoon.ru
5,0
Анжелика
Приводила сына на наращивание зуба, ему 13 лет, мы остались в полном восторге - ребёнок счастлив! Отношение к пациентам отличное, работа выполнена хорошо, всё нас устраивает. Хочу отметить доктора Кирилла Андреевича Буга - врач просто высший класс, нам его посоветовала сестра, которая тоже водит к нему детей, я теперь понимаю почему. Где бы мы раньше ни были, нигде не было так хорошо, как здесь!
20 мая 2026 Отзыв взят с сайта Zoon.ru
5,0
Екатерина
Мы всей семьёй ходим к доктору Кириллу Андреевичу - шикарный специалист, очень компетентный, работает качественно и быстро, всё в идеале. Пломбирование зуба прошло отлично, всё сделал как надо и с улыбкой - безболезненно, аккуратно, материалы хорошие. Перед лечением осмотрели, озвучили план работы, всё чётко и понятно. Клиника очень чистая и аккуратная, приятно в ней находиться.
19 мая 2026 Отзыв взят с сайта Zoon.ru
5,0
Катерина
Я приводила ребёнка на установку пломбы к детскому стоматологу. Ребёнок был абсолютно спокоен, не боялся и не испытывал боли во время процедуры, стоматолог обращался с ним вежливо.
19 мая 2026 Отзыв взят с сайта Zoon.ru
5,0
Евгения
Приводила своих детей удалять молочные зубы и осталась очень довольна тем, как врачи работают с маленькими пациентами. Самое главное, что процедура прошла совершенно безболезненно, зубы удаляли в форме игры, ребёнок не испугался и готов был вернуться ещё раз. Моя дочь панически боится инъекций, стоит ей увидеть шприц, как сразу начинается истерика. Врачи здесь действовали так профессионально, что убрали шприц с глаз долой, отвлекли её играми, она даже не ощутила момент укола, с сыном процедура тоже прошла превосходно. Мы попали к 2 разным докторам, каждый из них справился великолепно. После процедуры нам объяснили простые правила: не кушать 2 часа, никаких сложностей.
19 мая 2026 Отзыв взят с сайта Zoon.ru
5,0
Галина Донченко
Клиника произвела на меня замечательное впечатление благодаря быстрому обслуживанию: все строго по времени записи, за 1,5 часа мне смогли вылечить 2 зуба сразу, что в наше время случается довольно редко. Лечилась у врача Екатерины Харченко, которая является превосходным специалистом и работает тихо, уверенно, без суеты и с большим профессионализмом. До начала лечения кариеса мне провели обследование и выполнили рентгеновские снимки, все манипуляции делались с анестезией. Позже я привела к этому же доктору свою 16-летнюданочь для лечения кариеса. Для меня принципиально важно, чтобы ребенок не испытывал страха и боли, в этот раз все получилось превосходно и дочь совсем не боялась. Стоимость услуг в стоматологии достаточно разумная, поэтому мы собираемся обращаться сюда и в дальнейшем.
17 мая 2026 Отзыв взят с сайта Zoon.ru
5,0
Анна
Перед тем как поставить пломбу ребёнку, врач сделал рентген и тщательно осмотрел зубы, затем дал советы о том, что ещё 2 пломбы потребуется поменять при следующем визите. Доктор ведёт себя спокойно и легко идёт на контакт, всё подробно рассказал и продемонстрировал, смог найти общий язык с ребёнком, малыш даже уснул в кресле во время процедуры. После лечения никаких болезненных ощущений нет, работу выполнили качественно.
16 мая 2026 Отзыв взят с сайта Zoon.ru
5,0
Станислав
В клинике меня всё устроило, подобрали комфортное время для записи и выполнили удаление зуба абсолютно безболезненно. После процедуры мне дали памятку с рекомендациями, посоветовали принимать антибиотики и сразу же назначили следующий визит для снятия швов. Претензий к качеству работы у меня нет, всё получилось отлично, ранее я также привозил сюда своего ребёнка.
16 мая 2026 Отзыв взят с сайта Zoon.ru
5,0
Елена
Мы приехали без записи, потому что сыну срочно нужно было вырвать молочный зуб. Очень ценно, что нас сразу приняли и быстро помогли. Врач отлично справился со своей работой, малыш перенес процедуру легко и без истерик, это лучший показатель качества.
14 мая 2026 Отзыв взят с сайта Zoon.ru
4,0
Ирина
Я проходила лечение у врача Анвара в этой клинике и выбрала его после изучения отзывов. Для меня было принципиально, чтобы в помещении было чисто, и здесь все соответствовало моим ожиданиям. Обслуживание оказалось на хорошем уровне, а врач проявил чуткость, регулярно уточняя, нет ли болезненных ощущений и комфортно ли мне. Когда я привела своего 16-летнего сына, доктор так же внимательно отнесся к его самочувствию. Такое отношение особенно ценно, ведь лечение зубов всегда связано с волнением.
13 мая 2026 Отзыв взят с сайта Zoon.ru
5,0
Инна
Мы приводили ребёнка на его первый опыт лечения зубов: лечили зубы под анестезией обычным уколом, работа выполнена очень качественно. Всё прошло просто замечательно, доктор Анвар нашёл приятный подход к ребёнку и не испугал его, так что сын спокойно дался провести все манипуляции. Мне понравилось, что врач всё понятно объяснил и проявил себя как отличный специалист, в клинике очень хороший персонал.
13 мая 2026 Отзыв взят с сайта Zoon.ru
5,0
Наталья
Приезжала сюда с детьми для лечения молочных зубов и осталась полностью удовлетворена полученным результатом, зубы больше не беспокоят малышей, все процедуры выполнили качественно и полностью, каждый визит проходит без волнений. Атмосфера приятная, доктора профессиональные, мои 7-летние дети спокойно открывают рот и не сопротивляются лечению. Для сравнения скажу, что в муниципальной поликлинике они категорически отказывались открывать рот, тут же все лечебные процедуры проходят легко и без нервов.
12 мая 2026 Отзыв взят с сайта Zoon.ru
5,0
Татьяна
Ходила сюда сама и дочку приводила, мне делали очень сложное удаление, операция длилась больше часа, зуб не вырывали, а именно прошивали. Врач Кирилл Андреевич работал очень аккуратно, всё время объяснял, что происходит, после процедуры дал подробные рекомендации, которые помогли быстрее восстановиться. Особо отмечу его внимательность и профессионализм, с ним легко общаться, он отвечает на все вопросы.
8 мая 2026 Отзыв взят с сайта Zoon.ru
5,0
Ирина
Всё понравилось: и сама клиника, и врач, и результаты лечения. Доктор-мужчина качественно выполнил необходимые процедуры - проблема, с которой я обратилась, была успешно решена. При этом врач нашёл время всё подробно объяснить: ответил на все мои вопросы и доходчиво рассказал о ходе лечения. Общение получилось конструктивным, хотя, конечно, во время процедур особо не до долгих разговоров. Стоматолог проявил себя как вежливый и доброжелательный профессионал.
1 мая 2026 Отзыв взят с сайта Zoon.ru
5,0
Алексей
Понравилось отношение врача и атмосфера самой клиники. Врач учитывал все мои пожелания и моменты, которые для меня были важны, все было очень тактично. Я приходил на лечение пульпита, все прошло замечательно, услуги были оказаны в полном объеме.
30 апреля 2026 Отзыв взят с сайта Zoon.ru
5,0
Игорь
Мне удаляли сложный зуб, весь процесс прошёл максимально комфортно благодаря внимательному и заботливому отношению: и доктора, и ассистента, и девушки на ресепшене. Перед удалением сделали снимок - сначала при первичном приёме, потом непосредственно перед операцией, а после - ещё 1, чтобы оценить результат. Доктор Ирена Левоновна изучила мою анкету, акцентировала внимание на указанных заболеваниях, задала наводящие вопросы и подобрала щадящую анестезию. Болевых ощущений не было совсем. Ассистент тоже произвела хорошее впечатление: когда я признался, что сильно боюсь, она меня поддержала - сказала, что всё будет хорошо, что врачи здесь опытные, процедура пройдёт легко, «как комарик покусал». После удаления мне выписали лекарство, подробно расспросили про аллергию на антибиотики и про то, какие из них я принимал раньше. Ещё предупредили: если появятся малейшие беспокойства, нужно сразу звонить и приходить в клинику. По сравнению с предыдущим опытом удаления зуба, в другом городе, разница огромная: там не делали рентген, просто поставили анестезию и удалили зуб, а потом отправили домой.
30 апреля 2026 Отзыв взят с сайта Zoon.ru
5,0
Наталья
Хожу с детьми в стоматологию, отношение к клиентам всегда доброе, что очень приятно. Последний раз лечили детские зубы: пломбировали 2 зуба моему ребенку. Доктор был молодой мужчина, добрый и внимательный, грубости не было. Перед лечением сделали снимок, этого оказалось достаточно, дополнительная диагностика не потребовалась. Мне самой делали гигиеническую чистку, процедура прошла хорошо, не больно, врач Кирилл тщательно все почистил. Во время чистки выявили несколько проблем, надеюсь в будущем их вылечить. Доктора дали рекомендации по лечению кариеса и другим вопросам.
30 апреля 2026 Отзыв взят с сайта Zoon.ru
5,0
Алина
Врачи работают очень аккуратно, спокойно всё объясняют, главное, не больно. Раньше принимал Алим, сейчас другой доктор, молодой парень, имени, к сожалению, не знаю, но тоже замечательный специалист. Замену пломбы на переднем зубе сделали очень аккуратно, прямо любо-дорого смотреть. Посмотрим, конечно, как будет носиться, но пока впечатление отличное. По сравнению с другими клиниками соотношение цены и качества вполне достойное.
30 апреля 2026 Отзыв взят с сайта Zoon.ru
5,0
Мария
Врач молодая и очень отзывчивая девушка быстро нашла подход к моему ребенку, отвлекая его и направляя внимание в нужное русло, что для меня было очень важно. Перед процедурой она тщательно осмотрела полость рта и убедилась, что проблем нет, после чего предложила сделать чистку. Я спросила, есть ли свободное время, врач сразу же приняла нас. После процедуры дали рекомендации по уходу, особенно акцентировали внимание на чистке задних зубов.
30 апреля 2026 Отзыв взят с сайта Zoon.ru
5,0
Виталий
Мне очень понравилось, как оказали услугу в стоматологии: всё сделали быстро и качественно. Пломба, которую поставили, держится надёжно. Врач оказалась общительной и внимательной: уточняла, что именно меня беспокоит, спрашивала, всё ли в порядке во время приёма.
30 апреля 2026 Отзыв взят с сайта Zoon.ru
5,0
Алексей
Лечение прошло за 1 долгий часовой сеанс, это был сложный зуб с кариесом. Персонал клиники оставил очень приятное впечатление, отношение было хорошее. Завтра собираюсь на чистку от зубного камня. Выбрал эту клинику, потому что она самая близкая к дому. Врач, который со мной работал, оказался нормальным парнем.
29 апреля 2026 Отзыв взят с сайта Zoon.ru
5,0
Антон
Был на приёме у доктора Кирилла Андреевича - всё прошло отлично. Сначала врач провёл осмотр и сделал снимки, затем быстро нашёл правильное решение и качественно выполнил лечение. Общение было позитивным, комфортным. В целом впечатлён уровнем сервиса, квалификацией врача и ценами.
15 апреля 2026 Отзыв взят с сайта Zoon.ru
5,0
Павел
Мне за 1 прием запломбировали 2 зуба - всё прошло отлично. Врач работал аккуратно и безболезненно, я остался очень доволен его работой. Ещё предстоит продолжить лечение - буквально завтра снова иду в клинику.
15 апреля 2026 Отзыв взят с сайта Zoon.ru
5,0
Андрей
Мне провели лечение - сделали пломбирование и удалили зуб. Доктор дал стандартные рекомендации: полоскать рот специальным средством в течение 2-х месяцев и при необходимости снова обратиться к врачу. Общение с врачом прошло гладко, у меня не возникло никаких вопросов или претензий - всё устроило, в том числе качество исполнения работы.
15 апреля 2026 Отзыв взят с сайта Zoon.ru
5,0
Артем
Мне поставили пломбу, всё сделали быстро и хорошо. Доктор внимательно выслушал, осмотрел зуб, проверил состояние и дал нужные рекомендации: в основном посоветовал полоскать рот. Общался вежливо, без лишней суеты. Администратор тоже не вызвала вопросов - всё чётко: я заполнил бумажку и на этом наше взаимодействие закончилось.
15 апреля 2026 Отзыв взят с сайта Zoon.ru
5,0
Анонимный пользователь
Мы приходили с ребенком на лечение зубов. Нам понравилось, что удалось записаться на удобное для нас время. Стоматолог нашел подход к ребенку, разговаривал с ним и был доброжелателен.
15 апреля 2026 Отзыв взят с сайта Zoon.ru
4,0
Елена
Мой муж с нашим ребенком проходили лечение. Ребенок не боялся, доверял доктору, что для нас очень важно. Записалась я по телефону, меня быстро приняли, сразу же при первом звонке. Администратор вежливо общался, сервис был нормальный. Нам рекомендовали осматривать зубы примерно раз в полгода, так как зубки у ребенка молочные.
14 апреля 2026 Отзыв взят с сайта Zoon.ru
5,0
Анна
Последний раз приводила ребенка на чистку. Для меня как для мамы прежде всего важно то, как стоматолог-терапевт разговаривает с ребенком и может ли он расположить его к себе. Врач проявил доброжелательность и аккуратность, такое же отношение он показывает и взрослым. Все было выполнено быстро и именно так, как нужно. Доктор все подробно объяснил и рассказал, а после процедуры дал рекомендации просто следить за гигиеной и периодически проходить осмотр. Выбрала данного врача по отзывам от других людей. Сама тоже ставила пломбы, работа была выполнена качественно и безболезненно.
13 апреля 2026 Отзыв взят с сайта Zoon.ru
5,0
Наталья
Всё было прекрасно! Конечно, страшновато было, куда без этого, но Кирилл Андреевич меня просто покорил. Очень вежливый, аккуратный, каждый шаг проговаривает заранее и от этого как-то спокойнее. И говорит хорошо, и работает аккуратно, всё понравилось!
9 апреля 2026 Отзыв взят с сайта Zoon.ru
5,0
Виктория
Мне сделали чистку зубов, убрали камни. Отношение к пациентам приятное, работа быстрая, качество на высоте. Врач вел себя культурно и аккуратно, лишних слов не говорил, настоящий профессионал своего дела. После процедуры дали рекомендации: хорошо чистить зубы и первое время не употреблять красящие продукты. Через 3 месяца планирую снова прийти на чистку и уже начать лечение остальных зубов.
6 апреля 2026 Отзыв взят с сайта Zoon.ru
5,0
Виталий
Я проходил лечение кариеса у врача Ирены Левоновны. Мне очень понравилось обслуживание, действительно хорошее отношение ко мне как к клиенту. Во время приема доктор общалась со мной отлично, всё было понятно и спокойно. Все манипуляции, которые проводили, были выполнены на высоком уровне. По окончании лечения мне дали рекомендации продолжить заниматься кариесом, так как ещё есть над чем работать. Запись проходила удобно, подбирали время, которое мне подходило.
31 марта 2026 Отзыв взят с сайта Zoon.ru
5,0
Алина
Я не местная, поэтому побывала во многих стоматологиях, делала протезы и могу сказать, что в этой клинике я очень довольна и обслуживанием, и качеством протезов. Врач был очень внимательным и вежливым, подробно и терпеливо объяснял мне всё по поводу протезов, отвечал на все мои вопросы культурно и понятно. Также на ресепшене девушки были очень вежливы и внимательны. До этого я делала протезы в Подмосковье, но там я мучилась с ними, они держались 3 года и часто ломались, приходилось много раз ходить на коррекции. Здесь же качество протезов мне очень понравилось, для коррекции мне пришлось прийти всего раз, что для меня большой плюс.
28 марта 2026 Отзыв взят с сайта Zoon.ru
5,0
Ирина
Дочка даже не поняла, что у неё случилось и как зуб вырвали. Доктор использовал какую-то волшебную мазь, поэтому ребёнку при удалении совсем не было больно. Врач - молодой парень, он нашёл отличный подход к дочери. После процедуры нам дали стандартные рекомендации: не кушать 2 часа. Нам нужно было удалить молочный зуб, всё прошло очень быстро. Внутри чисто, комфортно и уютно, администратор встретил нас приветливо. Никаких негативных моментов не заметили, всё супер.
28 марта 2026 Отзыв взят с сайта Zoon.ru
5,0
Анонимный пользователь
Все прошло качественно и быстро, специалисты очень внимательные, они умеют выслушать и оперативно принимают решение о том, что нужно делать. Меня осмотрели и оперативно провели чистку, сделали все необходимое. В стоматологии очень хорошая обстановка, везде чисто. Персонал приятный, все подробно расскажут, покажут и объяснят. Большим плюсом стало удобное расположение, потому что нам было недалеко ехать.
28 марта 2026 Отзыв взят с сайта Zoon.ru
5,0
Анна
Врач позитивная, легко общается, приятно было с ней работать. Мне убрали кариес, поставили пломбу. После процедуры доктор порекомендовала пользоваться зубной нитью и прийти ещё, чтобы доделать другие зубы.
28 марта 2026 Отзыв взят с сайта Zoon.ru
5,0
Анонимный пользователь
Сейчас я лечусь у стоматолога Анвара, который исправил работу предыдущего врача и сделал все просто прекрасно. Мне удалили старые коронки, восстановили зубы и поставили временные коронки, скоро будут фиксировать постоянные. Доктор показал себя настоящим профессионалом, и я довольна результатом его работы.
28 марта 2026 Отзыв взят с сайта Zoon.ru
5,0
Анонимный пользователь
Доктор была внимательной, пломбирование выполнила быстро. Очень удобно, что снимки сделали сразу на месте, поэтому не пришлось никуда дополнительно ездить и тратить свое время. Внутри все чисто и спокойно, стоит хорошее новое оборудование и везде порядок. Девочки администраторы молодцы, они очень внимательные. Они предварительно меня записали и сориентировали по приблизительной стоимости, чтобы я понимала, на что рассчитывать. Цены здесь среднего уровня, что вполне логично, ведь сейчас все материалы стоят недешево. В целом все отлично, мои ожидания полностью оправдались.
27 марта 2026 Отзыв взят с сайта Zoon.ru
5,0
Сергей
Сейчас у меня только положительные впечатления, приятно, что не пришлось сидеть в очереди, всё было быстро и удобно. Девочки, которые меня обслуживали, были очень обходительными и аккуратными. Мне чуть подточили зуб, который откололся, а также сделали наращивание, всё прошло отлично, ничего не мешает, очень доволен результатом.
27 марта 2026 Отзыв взят с сайта Zoon.ru
4,0
Людмила
Было удаление зуба, для меня важнее всего была безболезненность, с этим всё прошло отлично. Работали со мной 2 доктора: девушка и мужчина, оба порадовали скоростью и аккуратностью. После процедуры дали рекомендации по приёму таблеток дома. У стоматологии очень удобное расположение, добраться несложно.
25 марта 2026 Отзыв взят с сайта Zoon.ru
5,0
Сергей
Я лечил здесь зуб, который казался целым, но на самом деле раскололся пополам. Доктор сначала сфотографировал его, разобрался в ситуации и всё залечил. Итог меня порадовал: ничего не болит, сделано качественно. Приятно, что управились за один визит, не пришлось ходить несколько раз. Общение с доктором тоже было хорошим, имя, к сожалению, не запомнил, помню только, что принимал молодой парень.
25 марта 2026 Отзыв взят с сайта Zoon.ru
5,0
Виктория
Мы лечили кариес у ребенка, которому 6 лет. Самым важным для меня было то, чтобы сыну не было страшно во время процедуры. Доктор просто умница, она нашла отличный подход к маленькому пациенту. Все прошло нормально и успешно, нам очень понравилось отношение специалиста и то, как она общалась с ребенком.
25 марта 2026 Отзыв взят с сайта Zoon.ru
5,0
Олеся
Я водила ребенка лечить зуб: вылечили хорошо, ничего не болит и не беспокоит. Лечимся у одного стоматолога уже не в первый раз, все всегда устраивает. Будем продолжать сюда ходить и дальше.
25 марта 2026 Отзыв взят с сайта Zoon.ru
5,0
Анатолий
Я выбрал это место из-за подходящей мне ценовой политики и удобного расположения. Меня очень порадовало отношение со стороны сотрудников и их пунктуальность. Когда подходишь к персоналу, они всегда интересуются состоянием и спрашивают, как все проходит. Доктор при проведении процедур постоянно спрашивает о моем самочувствии, уточняет, больно мне или нет и были ли какие-то побочные эффекты. Общение очень хорошее и приятное. Сейчас я еще нахожусь в процессе лечения, мне установили протез и впереди еще предстоит имплантация.
24 марта 2026 Отзыв взят с сайта Zoon.ru
5,0
Виктория
Мне всё понравилось и ребёнку тоже, мы приходили на чистку. Сыну очень понравилась скорость выполнения работы. Мне как маме важно, чтобы ему всё нравилось, результат меня полностью устроил. Всё почистили хорошо, весь налёт, который был, удалили полностью. Я выбирала это место по критериям скорости и качества. Всё прошло быстро и качественно.
24 марта 2026 Отзыв взят с сайта Zoon.ru
5,0
Анастасия
Удаление зуба прошло быстро, заживление идет без воспалений и осложнений. Хотя процесс еще не окончен, на данный момент всё развивается положительно.
12 марта 2026 Отзыв взят с сайта Zoon.ru
5,0
Анастасия
На консультации в стоматологии мне подробно подсчитали цену за лечение всех проблемных зубов. Цены оказались разумными, персонал вел себя корректно и ненавязчиво, а в самой клинике поддерживается порядок и чистота.
12 марта 2026 Отзыв взят с сайта Zoon.ru
5,0
Андрей Романович
Я приходил из-за острой боли, мне сделали осмотр, рентген и гигиеническую чистку. Лечение пульпита еще не закончили, удалили пульпу, в субботу планируем пломбировать. Врачи проявили себя хорошо, относились вежливо, все прошло отлично.
12 марта 2026 Отзыв взят с сайта Zoon.ru
5,0
Ольга
Врачи здесь очень внимательные и осторожные, лечение прошло успешно. Я проходила лечение у Иры, которая тщательно подходила к каждому этапу, подробно объясняла свои действия, показывала снимки и обсуждала план терапии. После процедуры она дала ценные советы, например, обрабатывать десны противомикробным средством, так как пломба была установлена близко к деснам и вызвала их раздражение. Стоматология была выбрана по рекомендации моей племянницы, которая уже лечилась здесь.
12 марта 2026 Отзыв взят с сайта Zoon.ru
5,0
Олеся
Супруг посещал клинику с ребенком для проведения чистки себе и удаления зуба дочери. По его словам, процедуры прошли отлично, наша девочка боязливая по характеру и очень переживала, полагая, что будет болезненно, однако оказалось, что область просто потеряла чувствительность. Все завершилось прекрасно, болевых ощущений сейчас нет. Остановились на этой клинике из-за положительных отзывов, к тому же альтернатив было мало.
11 марта 2026 Отзыв взят с сайта Zoon.ru
5,0
Анна
У меня была непростая ситуация с зубом - нужно было убрать кариес, но врач отлично справился с задачей. Доктор проявил себя как настоящий профессионал. Отдельно отмечу условия в кабинете: там очень комфортно, всё оборудование стерильное, чувствуется, что к гигиене относятся ответственно. Записаться получилось достаточно оперативно - я попала на приём ровно через неделю после обращения. Ещё хочу сказать спасибо сотруднице клиники, блондинке: она очень помогла с оформлением приложения.
19 февраля 2026 Отзыв взят с сайта Zoon.ru
5,0
Ибрагимова Анастасия Алексеевна
Обслуживание в клинике было оперативным и быстрым, удаление зуба прошло хорошо. Пациенту было страшно, но благодаря профессионализму девушки, которая проводила процедуру, страх прошёл - всё было быстро и безболезненно. Я записала его по телефону, запись сделали быстро, администратор была очень приятной и вежливой. Я выбрала эту стоматологию по совету знакомого, который остался доволен качеством и ценой услуг.
19 февраля 2026 Отзыв взят с сайта Zoon.ru
5,0
Иван
Недавно мне удаляли зуб - всё прошло хорошо: после процедуры ничего не болит. Перед удалением был проведён осмотр, а во время приёма врач общался отлично, вёл себя профессионально. Для меня самое важное в работе стоматолога - именно профессионализм.
19 февраля 2026 Отзыв взят с сайта Zoon.ru
5,0
Елизавета
Запись прошла строго по времени, и сотрудники проявили заботу на каждом этапе. Врач подробно рассказал о выборе пломбы и способах лечения, которые помогут сохранить зуб на долгий срок. Сейчас продолжаю лечение, временная пломба стоит, и уже заметно, что всё выполняется тщательно и ответственно.
18 февраля 2026 Отзыв взят с сайта Zoon.ru
5,0
Олег
Мне качественно выполнили работу: лечили воспаление, удаляли нервы и восстанавливали стенки зуба с помощью пломбирования. Приём вела доктор Ирена, которая произвела на меня очень приятное впечатление - она понятно всё объяснила и хорошо сделала свою работу. Доктор подробно рассказала, в чём заключалась проблема и дала полезные рекомендации. В частности, после пломбирования она порекомендовала в дальнейшем поставить коронку. Для меня было главным, чтобы работу сделали качественно с первого раза, чтобы потом не пришлось возвращаться к этой проблеме.
10 февраля 2026 Отзыв взят с сайта Zoon.ru
5,0
Полина
Мой ребенок с удовольствием посещает приемы и совершенно не боится. Доктор Ирена Левоновна нашла прекрасный контакт с малышом, он даже согласился остаться с ней наедине. Все процедуры объяснили понятно и доступно: что будет происходить, зачем это нужно и как все пройдет. Мне очень понравилось отношение как к ребенку, так и ко мне. У нас была непростая ситуация с зубом, но врач детально изложила весь план терапии. Сейчас мы уже в 3 раз приходим для продолжения лечения, такие доверительные отношения действительно бесценны!
7 февраля 2026 Отзыв взят с сайта Zoon.ru
5,0
Дуня
Мне поставили временную пломбу, сделали промывку, кальций поставили. Очень внимательная и аккуратная, осторожная, молодая девушка-доктор.
6 февраля 2026 Отзыв взят с сайта Zoon.ru
5,0
Анна
Мне очень понравилось обслуживание в клинике. Не пришлось долго ждать, не было очереди, администратор очень приветливая. Доктор сказал мне все по факту, как есть, не пришлось удалять зуб, как бы это сделали в другом месте. На приеме делали снимок, чтобы проверить состояние зуба, оказалось, что он здоров. Доктор порекомендовал использовать ирригатор для очищения зубов, это действительно помогло - я купила ирригатор и начала им пользоваться. Проблема в десне, которая должна встать на место, стала меньше.
6 февраля 2026 Отзыв взят с сайта Zoon.ru
5,0
Артем
Очень приятная стоматолог Ирена, все спокойно объяснила и рассказала. Харизматичная девушка, всегда предупреждала и спрашивала о моем самочувствии, было ощущение, что все отлично. Доктор подробно объяснила, где у меня расположены нервы, что собирается делать, рассказала о стоимости и количестве сеансов. Удалили кариес, полностью лечили зуб, очистили каналы от нервов и поставили пломбы.
6 февраля 2026 Отзыв взят с сайта Zoon.ru
5,0
Ольга
Лечение кариеса прошло комфортно, я была напугана, но врач нашел ко мне подход, вежливо и тактично всё объяснил, создал хорошее настроение, был добр и позитивен. Доктор очень приятный, ухоженный человек, чувствуется чистоплотность, я уже записалась на следующий прием.
5 февраля 2026 Отзыв взят с сайта Zoon.ru
5,0
Анжела
Врач Ирена Левоновна, которая удаляла мне зуб, была очень вежливой. Она вместе со своей помощницей меня успокаивала, это помогло справиться со страхом. После процедуры доктор дала подробные рекомендации: объяснила, что если боль продолжится несколько дней, нужно подключить антибиотики, выписала обезболивающее и сказала полоскать обеззараживающим средством. Очень приятный и вежливый администратор также помог мне с выбором хорошего врача, когда я сама не знала, к кому идти. Я выбрала эту клинику, потому что мой сын учился в параллельном классе с Кириллом Андреевичем, поэтому к этому месту было доверие.
5 февраля 2026 Отзыв взят с сайта Zoon.ru
5,0
Руслан
Клиника вполне приличная и ничем не отличается от других в худшую сторону, поэтому продолжим туда ходить. Персонал на ресепшене очень хороший, учтивый, не навязывается и предоставляет всю нужную информацию. Приводил своих близких, которые приехали с сильной болью, им быстро оказали помощь и долго ждать не потребовалось. Сейчас они уже записались на установку протезов.
4 февраля 2026 Отзыв взят с сайта Zoon.ru
5,0
Анна
Удаление зуба мудрости в этой стоматологии прошло очень легко благодаря уколу, который практически не вызвал дискомфорта, и самой процедуре, которая была выполнена быстро и аккуратно. Врач работала очень внимательно и деликатно, а после операции подробно объяснила, как правильно себя вести, чтобы не повредить зону около пазухи: не есть, не жевать с той стороны, избегать наклонов и подъема тяжестей.
4 февраля 2026 Отзыв взят с сайта Zoon.ru
Удалить отзыв
Остались вопросы?
Вы можете воспользоваться любым из указанных способов связи